Explore why businesses aren’t ignoring computer vision. Discover how Vision AI turns images and videos into insights that drive smarter decisions.
Explore why businesses aren’t ignoring computer vision. Discover how Vision AI turns images and videos into insights that drive smarter decisions.
Many businesses deal with repetitive, time-consuming processes within their daily operations. These tasks often rely on people watching, checking, or analyzing visual information repeatedly.
Whether it’s keeping track of products on shelves, reviewing medical images, monitoring activity in a warehouse, or making sure a workplace stays safe, all of these tasks require constant attention. Even the most experienced teams can miss details when things are constantly in motion.
As artificial intelligence (AI) becomes more accessible, many businesses are adopting computer vision, a subfield of AI that enables machines to interpret images and videos. Vision AI makes it possible to automate visual tasks and turn everyday visuals into impactful insights.
Industries such as healthcare, retail, logistics, and robotics are already seeing the benefits. Computer vision helps teams work more efficiently, reduce errors, and make decisions with greater confidence.

It also plays a significant role in the long-term productivity gains AI can create. In fact, AI systems could generate up to $4.4 trillion in annual productivity improvements across corporate use cases.
In this article, we’ll dive into how computer vision can drive smarter decisions and why ignoring computer vision can lead to missed opportunities. Let’s get started!
Computer vision is one of the fastest-growing areas of AI, powered by smarter and more capable algorithms that help machines make sense of the world through images and video.
In particular, models like Ultralytics YOLO11 and the upcoming Ultralytics YOLO26 support computer vision tasks such as object detection, instance segmentation, and image classification that help machines analyze visual information.
For instance, object detection is used to find and locate specific objects in an image, instance segmentation identifies objects and outlines them at the pixel level, and image classification assigns labels based on what the image contains. But how does this actually work?

Models like YOLO11 and YOLO26 can be custom-trained or fine-tuned on datasets that contain examples of the objects or scenes a business cares about. These datasets include images paired with labels that show the model what to look for.
During training, these models, which are built using deep neural networks (such as convolutional neural networks or CNNs) and trained by supervised machine learning techniques, learn visual features and object patterns from the datasets. After sufficient model training, the model can generalize and recognize similar patterns in new, unseen images.
Industries like manufacturing, logistics, healthcare, and retail collect massive amounts of visual data every day through cameras, sensors, and other devices. The surprising part is that a lot of this information never gets used.
When companies overlook this data, they miss out on insights that could make their operations run more smoothly, prevent avoidable issues, and highlight new opportunities for growth.
Here are some of the everyday challenges businesses face because they are ignoring computer vision:
With a better understanding of what computer vision is and how it works, let’s explore how it can create real, measurable value for businesses.
Here’s a closer look at the benefits it brings across different areas:
Next, let’s walk through how different industries are putting computer vision into action and the impact it is having on their day-to-day operations.
Retail operations today involve far more than shelves and checkout counters. With the help of AI and visual data, retailers are finding new ways to streamline daily tasks, improve accuracy, and meet rising customer expectations. Computer vision is being used across a wide range of activities, from tracking product availability on shelves to analyzing foot traffic and optimizing store layouts.

One great example comes from Walmart, one of the world’s largest retailers. Walmart uses computer vision in more than 1,000 stores to monitor checkout activity and reduce losses.
AI-powered cameras analyze what happens at both self-checkout and staffed registers and can detect when an item passes by the scanner without being scanned. When that happens, the system alerts an associate so they can step in and correct the issue.
This helps reduce shrinkage, the losses caused by theft, scanning mistakes, or simple human error, which can add up to billions of dollars across the retail industry each year.
Meanwhile, in manufacturing, precision is essential for producing high-quality products. Computer vision enables manufacturers to achieve higher standards of quality and efficiency without slowing down production. By detecting defects on assembly lines and monitoring worker safety, these systems make quality checks faster, more consistent, and more reliable.

Interestingly, popular automotive brands are also adopting computer vision to modernize their production lines. Toyota, for example, uses a deep learning–based vision system to automate its vehicle inspection process.
The company once relied on manual checks, which were slow and prone to error. Today, a system equipped with 17 high-resolution cameras and advanced lighting captures detailed images of each car and verifies more than 80 specifications in real time. The result is faster inspections, higher accuracy, lower costs, and consistently high quality across the production line.
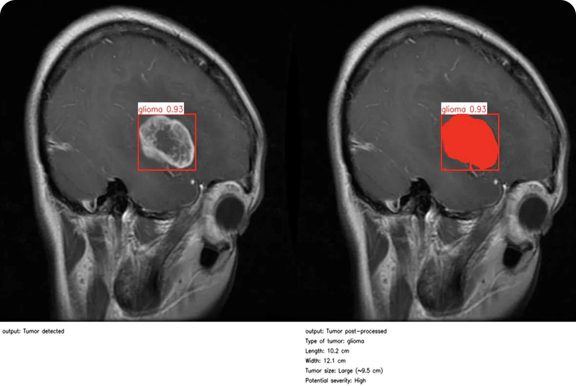
Similarly, healthcare is seeing major advances as computer vision becomes part of everyday clinical workflows. In medical settings, precision and timing are critical, and computer vision research and AI-driven image analysis are letting clinicians make faster, more informed decisions.
This is true across many areas of healthcare. Take ophthalmology, for example. At Moorfields Eye Hospital in the UK, researchers developed RETFound, one of the first AI foundation models in medicine and the first in eye care.
Trained on 1.6 million retinal images using self-supervised learning, the model can detect sight-threatening conditions such as diabetic retinopathy and glaucoma, and even predict broader systemic diseases like heart failure, stroke, and Parkinson’s based on subtle retinal clues.
When it comes to integrating computer vision into your business operations, a complete overhaul isn't always necessary. An easy first step is to look at what you already have.
Most businesses already have the raw data they need. The real opportunity lies in recognizing how that data can create meaningful value.
Starting small often leads to the biggest breakthroughs. A simple project, like using a pre-trained model to monitor inventory levels or to improve basic surveillance insights, can deliver measurable results quickly. These early wins reduce errors, save time, and help teams build confidence in what AI can accomplish.
A few recent trends in computer vision AI are redefining how businesses use visual data. Until recently, most AI processing relied on cloud computing, where images and video were sent to remote servers for analysis.
This approach was effective but introduced delays, increased privacy concerns, and depended on strong internet connections. These limitations made it difficult to use computer vision for situations that require instant responses.
Today, the move toward edge computing is speeding up the momentum of AI adoption. Cutting-edge vision models such as YOLO11 and the upcoming YOLO26 can now run directly on smaller, on-device hardware.
This means systems can process visual information immediately and operate even without a constant internet connection. The result is faster detection, greater reliability, and more control over sensitive data. As edge AI continues to improve, businesses can shift from slow, batch processing to real-time intelligence across robotics, manufacturing, retail, logistics, and many other environments.
Computer vision is changing how businesses observe their operations and make decisions. By using visual data more effectively, organizations can work more efficiently, reduce errors, and improve the quality of their day-to-day processes. With better insight into their workflows, businesses can make decisions that are timely, informed, and grounded in real operational data.
Ready to bring computer vision into your business? Check out our licensing options, join our community, and explore our GitHub repository to learn more about computer vision. Read more on AI in agriculture and computer vision in robotics on our solutions pages.
Begin your journey with the future of machine learning