Pixelabs, halen manuel incelemeye dayanan görsel iş akışlarını otomatikleştirmek istiyordu. Bu tür süreçler zaman alıcı, tutarsız ve ölçeklendirilmesi zor olup, özellikle erken Alzheimer teşhisi için retina görüntüleme gibi kullanım durumlarında bu durum daha da belirgindir.
Pixelabs, Ultralytics YOLO Pixelabs AI-Engine'e entegre ederek görsel iş akışlarını otomatikleştirebildi. Örneğin, erken dönem Alzheimer teşhisi için yapılan retina görüntülemede bu entegrasyon, belirteçlerin tespitinde tutarlılığı artırdı ve geri çağırma oranı %95'e ulaştı.
Günümüzde birçok endüstriyel, operasyonel ve araştırma iş akışı, süreçleri kontrol etmek veya kalıpları tespit etmek için hâlâ insanların görüntüleri manuel olarak incelemesine dayanmaktadır. Veri hacmi arttıkça, bu süreç hızla yavaşlamakta, tutarsız hale gelmekte ve ölçeklendirilmesi zorlaşmaktadır.
Bu durum, özellikle erken dönem Alzheimer teşhisi için yapılan retina görüntüleme gibi araştırma ortamlarında geçerlidir; bu tür ortamlarda görüntülerdeki küçük belirtileri tespit etmek zor ve zaman alıcı olabilir.
Pixelabs, gerçek zamanlı görüntü ve video analizi için tasarlanmış görsel yapay zeka platformu Pixelabs AI-Engine ile bu sorunun çözümüne katkıda bulunuyor. Ultralytics YOLO gibi bilgisayar görme modellerini kullanan platform, görsel iş akışlarının otomatikleştirilmesini kolaylaştırıyor, tutarlılığı artırıyor ve analizlerin ölçeklendirilmesini sağlıyor.
Pixelabs, işletmelerin bilgisayar görme teknolojisini kullanarak mevcut süreçlerini otomatikleştirmelerini ve iyileştirmelerini sağlayan görsel yapay zeka çözümleri geliştiriyor. Madrid merkezli ve Barselona ile Birleşik Krallık’ta ofisleri bulunan şirket, çeşitli sektörlerde uygulanabilen pratik yapay zeka araçları geliştirmeye odaklanıyor.
Özellikle, şirketin Pixelabs AI-Engine adlı platformu, nesne algılama, kusur tespit etme, yüzey analizi ve optik karakter tanıma (OCR) gibi görevler için gerçek zamanlı görüntü ve video analizi imkanı sunuyor. Bu özellikler, kullanıcıların görsel verileri daha verimli bir şekilde işlemesine olanak tanıyor ve manuel incelemeye olan bağımlılığı azaltıyor.
Platform, mevcut sistemlere entegre olacak şekilde tasarlanmıştır; böylece kuruluşlar, faaliyetlerini aksatmadan bilgisayar görme teknolojisini daha kolay bir şekilde benimseyebilir. Bu esneklik, Pixelabs’ın çok çeşitli kullanım senaryolarını desteklemesini ve gereksinimler arttıkça çözümleri ölçeklendirmesini sağlar.
Birçok sektörde, günlük işleyiş hâlâ manuel iş akışlarına ve sınırlı otomasyona dayanmaktadır. Operatörler, mühendisler ve araştırmacılar genellikle görüntüleri elle inceler, sonuçları doğrular ve verileri farklı araçlar arasında yönetir.
Bu durum, özellikle veri hacimleri arttıkça süreçleri yavaşlatır, standartlaştırmayı zorlaştırır ve tutarsızlıklara daha açık hale getirir. Kuruluşlar bilgisayar görme teknolojisini uygulamaya koymak isteseler bile, bu geçiş her zaman kolay olmaz.
Yapay zekayı mevcut sistemlere entegre etmek, yerleşik iş akışlarında değişiklikler, yeni altyapı veya ek mühendislik çalışmaları gerektirebilir. Bu nedenle birçok çözümün zaman içinde ölçeklendirilmesi veya sürdürülmesi zordur.
Örneğin, erken dönem Alzheimer teşhisi için retina görüntüleme gibi araştırma ortamlarında bu zorluklar daha da karmaşık hale gelir. Araştırmacılar, detect küçük ayrıntıları detect , büyük görüntü veri kümelerini yönetmek ve sonuçların farklı koşullarda tutarlı kalmasını sağlamak zorundadır.

Analiz, veri yönetimi ve çıktıların işlenmesine yönelik verimli bir yöntem olmadan, bu iş akışlarını ölçeklendirmek ve güvenilir sonuçlar elde etmek zorlaşır.
Pixelabs, Ultralytics YOLO Pixelabs AI-Engine'e entegre ederek bu zorlukların üstesinden geldi. Platform, görsel yapay zeka çözümlerinin merkezini oluşturuyor ve mevcut iş akışlarını kesintiye uğratmadan farklı uygulamalar arasında gerçek zamanlı görüntü ve video analizini daha sorunsuz bir şekilde yürütmeyi sağlıyor.
Nesne ve kusur tespiti, yüzey ve doku analizi, renk yönetimi ve OCR gibi çeşitli görevleri destekler. Donanımdan bağımsız olması ve API’ler aracılığıyla entegre edilmek üzere tasarlanmış olması sayesinde, farklı ortamlarda kullanıma sunulabilir ve ölçeklendirilebilir.
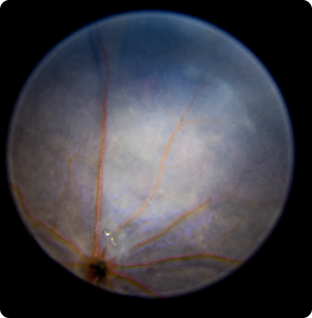
Bu yaklaşım, yakın zamanda CIBIR Alzheimer araştırma ekibiyle gerçekleştirilen bir işbirliği kapsamında uygulandı; bu işbirliği kapsamında Pixelabs, retina görüntülemeyi kullanarak farelerde Alzheimer hastalığının erken teşhisini destekleyen bir sistem geliştirdi. Amaç, hastalığın erken aşamalarına işaret edebilecek amiloid beta birikintileri gibi küçük göstergeleri tespit etmekti.
Bunu gerçekleştirmek için Pixelabs, veri depolama, görüntü işleme ve kullanıcı arayüzünü birbirine bağlayan bir iş akışı oluşturdu. Laboratuvara özel fundus görüntüleme cihazlarıyla çekilen retina görüntüleri, öncelikle Güvenli Dosya Aktarım Protokolü (SFTP) aracılığıyla aktarılır ve merkezi bir sistemde depolanır; böylece büyük veri kümelerinin yönetimi ve erişimi kolaylaştırılır.
Tutarlı sonuçlar elde etmek için, görüntü kalitesi ve aydınlatma farklılıklarını gidermek üzere ön işleme adımları uygulanır. Bu, sistemin farklı örnekler ve koşullar arasında doğruluğunu korumasına yardımcı olur.
Görüntüler daha sonra özel olarak eğitilmiş Ultralytics YOLOv8 modelleri dahil olmak üzere görsel AI modelleri kullanılarak analiz edilir. Performans ve doğruluk arasında denge sağlamak için YOLOv8 orta ve büyük varyantları YOLOv8 .
Bu süreçte, Ultralytics YOLO , amiloid beta birikintileri gibi küçük ilgi alanlarını doğrudan retina görüntülerinde tespit etmek ve konumlarını belirlemek amacıyla nesne algılama ve görüntü sınıflandırması için kullanılmaktadır.

Son olarak, sonuçlar web tabanlı bir platform üzerinden sunulur; burada kullanıcılar görüntü yükleyebilir, verileri yaş, cinsiyet veya fenotip gibi özelliklere göre filtreleyebilir ve tespit edilen özellikleri güvenlilik puanlarıyla birlikte görüntüleyebilir. Bu sayede, ham görüntü verilerinden net ve kullanışlı içgörülere ulaşmak daha kolay hale gelir.
Pixelabs için Ultralytics YOLO , farklı kullanım senaryolarına hızla uyarlanabilen bilgisayar görme çözümleri geliştirmek üzere pratik ve esnek bir temel sunarak mükemmel bir seçim oldu. Bu modellerin eğitimi ve iyileştirilmesi kolay olduğundan, ekip sistemi yeniden tasarlamaya gerek kalmadan daha hızlı yineleme yapabilir ve yeni gereksinimlere yanıt verebilir.
Bu esneklik, geliştirme hızı üzerinde doğrudan bir etki yarattı. YOLO yararlanarak Pixelabs, geliştirme döngülerini hızlandırabildi ve çözümleri daha kısa sürede üretime geçirebildi; böylece yeni uygulamaların pazara sunulma süresi kısaldı. Aynı zamanda, modeller daha doğru ve tutarlı sonuçlar verdi.
Ultralytics YOLO Pixelabs AI-Engine'e entegrasyonu, analiz performansında belirgin bir iyileşme sağladı. Alzheimer araştırması kullanım örneğinde, sistem yaklaşık %90'lık bir hatırlama oranı elde etti; hastalık ilerledikçe ve belirtiler daha belirgin hale geldikçe bu oran %95'e kadar yükseldi.
Bu, araştırmacıların geniş görüntü veri kümeleri üzerinde amiloid beta birikintileri gibi detect özellikleri daha güvenilir bir şekilde detect etmelerine olanak sağladı. Sonuç olarak, analiz daha tutarlı hale geldi; bu da değişkenliği azalttı ve önemli göstergelerin gözden kaçmamasını sağladı.
Bu kullanım örneğinin ötesinde, Pixelabs, çözümlerini farklı uygulama alanlarında kullanan müşterilerden de sürekli olarak olumlu geri bildirimler almaktadır. Kullanıcılar, özellikle verimlilik ve güvenilirlik açısından süreçlerin yürütülüşündeki iyileşmelere dikkat çekmektedir.
Bu etkiler, platformun esnekliğini ve farklı operasyonel ihtiyaçlara uyum sağlama yeteneğini yansıtarak, spesifik kullanım durumlarına göre değişiklik göstermektedir. Genel olarak, bu iyileştirmeler görsel verilerin büyük ölçekte yönetilmesini ve analiz edilmesini kolaylaştırarak, daha güvenilir sonuçlar ve daha verimli iş akışları sağlanmasına katkıda bulunmuştur.
Pixelabs, görsel yapay zeka platformunun yeteneklerini yeni kullanım alanlarına ve sektörlere yaymaya devam ediyor. Ekip, Alzheimer teşhisi gibi araştırma uygulamalarındaki çalışmalarından yola çıkarak, modellerini iyileştirmeye ve Ultralytics YOLO gibi teknolojileri kullanarak görsel analizi geliştirmeye odaklanıyor.
Pixelabs, teknolojisini sürekli geliştirerek kuruluşların süreçlerini daha etkili bir şekilde otomatikleştirmelerine ve bilgisayar görme teknolojisini daha geniş bir yelpazedeki gerçek dünya iş akışlarına uygulamalarına yardımcı olmayı hedefliyor.
Şirketinizin iş akışlarını daha verimli hale getirmek mi istiyorsunuz? Vision AI hakkında daha fazla bilgi edinmek için GitHub depomuzu inceleyin. YOLO sağlık sektöründe yapay zeka ve perakende sektöründe bilgisayar görme gibi alanlarda yenilikleri nasıl desteklediğini keşfedin. YOLO bizzat deneyimlemek için lisans seçeneklerimizin projenize nasıl destek olabileceğini öğrenin.
Ultralytics YOLO modelleri, görüntülerden ve video girdilerinden gelen görsel verileri analiz etmek için geliştirilmiş bilgisayarla görme mimarileridir. Bu modeller Nesne algılama, sınıflandırma, poz tahmini, izleme ve örnek segmentasyonu gibi görevler için eğitilebilirUltralytics YOLO modelleri şunları içerir:
Ultralytics YOLO11 , Bilgisayarla Görme modellerimizin en son sürümüdür. Tıpkı önceki sürümleri gibi, Vision AI topluluğunun YOLOv8 hakkında sevdiği tüm bilgisayarla görme görevlerini destekler. Bununla birlikte, yeni YOLO11 daha yüksek performans ve doğrulukla birlikte gelir, bu da onu güçlü bir araç ve gerçek dünyadaki endüstri zorlukları için mükemmel bir müttefik haline getirir.
Kullanmayı seçtiğiniz model, projenizin özel gereksinimlerine bağlıdır. Performans, doğruluk ve dağıtım ihtiyaçları gibi faktörleri dikkate almak önemlidir. İşte hızlı bir genel bakış:
YOLOv5 ve YOLO11 gibi Ultralytics YOLO11 depoları, varsayılan olarak AGPL-3.0 Lisansı altında dağıtılır. OSI onaylı bu lisans öğrenciler, araştırmacılar ve meraklılar için tasarlanmıştır, açık işbirliğini teşvik eder ve AGPL-3.0 bileşenlerini kullanan herhangi bir yazılımın da açık kaynaklı olmasını gerektirir. Bu, şeffaflığı sağlar ve yeniliği teşvik ederken, ticari kullanım durumlarıyla uyumlu olmayabilir.
Projeniz Ultralytics yazılımını ve AI modellerini ticari ürünlere veya hizmetlere yerleştirmeyi içeriyorsa ve AGPL-3.0'ın açık kaynak gereksinimlerini atlamak istiyorsanız, bir Kurumsal Lisans idealdir.
Kurumsal Lisansın Faydaları şunlardır:
Sorunsuz entegrasyon sağlamak ve AGPL-3.0 kısıtlamalarından kaçınmak için, sağlanan formu kullanarak bir Ultralytics Kurumsal Lisansı talep edin. Ekibimiz, lisansı özel ihtiyaçlarınıza göre uyarlamanıza yardımcı olacaktır.
Makine öğreniminin geleceği ile yolculuğunuza başlayın